Gebeuren
Neem contact met ons op
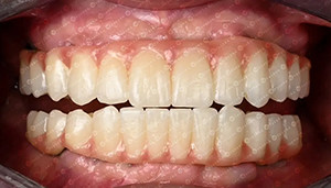
Klantenzaak. 4D Zirconia blok.
2024-08-29
Meester: Ivaylo Dimitrov uit Bulgarije
Materiaal: Yucera 4D Pro Multilayer Zirconia Disc
Schaduw: A1
2024-08-29
Meester: Ivaylo Dimitrov uit Bulgarije
Materiaal: Yucera 4D Pro Multilayer Zirconia Disc
Schaduw: A1
Stuur uw vraag rechtstreeks naar ons
Laat een bericht achter.
We bellen u zo snel mogelijk terug!
Je bericht moet tussen de 20 en 3.000 tekens lang zijn!
Controleer uw e-mail.
Meer informatie vergemakkelijkt betere communicatie.
Succesvol ingediend!
We bellen u zo snel mogelijk terug!
Laat een bericht achter.
We bellen u zo snel mogelijk terug!
Je bericht moet tussen de 20 en 3.000 tekens lang zijn!
Controleer uw e-mail.